Adieu épaule calcifiée : une meilleure qualité de vie grâce à un concept thérapeutique individuel composé des méthodes de traitement les plus éprouvées et les plus innovantes
Vous souffrez d'une épaule calcaire douloureuse ?
Les douleurs sont-elles si fortes qu'elles limitent votre vie quotidienne et vos activités de loisirs ? Vous n'êtes pas seul(e). Cette maladie touche des personnes de tous âges et peut fortement nuire à la qualité de vie. Mais il y a de l'espoir ! Dans notre cabinet orthopédique privé Orthopassion, nous vous proposons un concept de traitement global et personnalisé, basé sur les effets synergiques des mesures thérapeutiques les plus éprouvées et de diverses mesures innovantes.
Aperçu : Qu'est-ce qu'une épaule calcaire ?
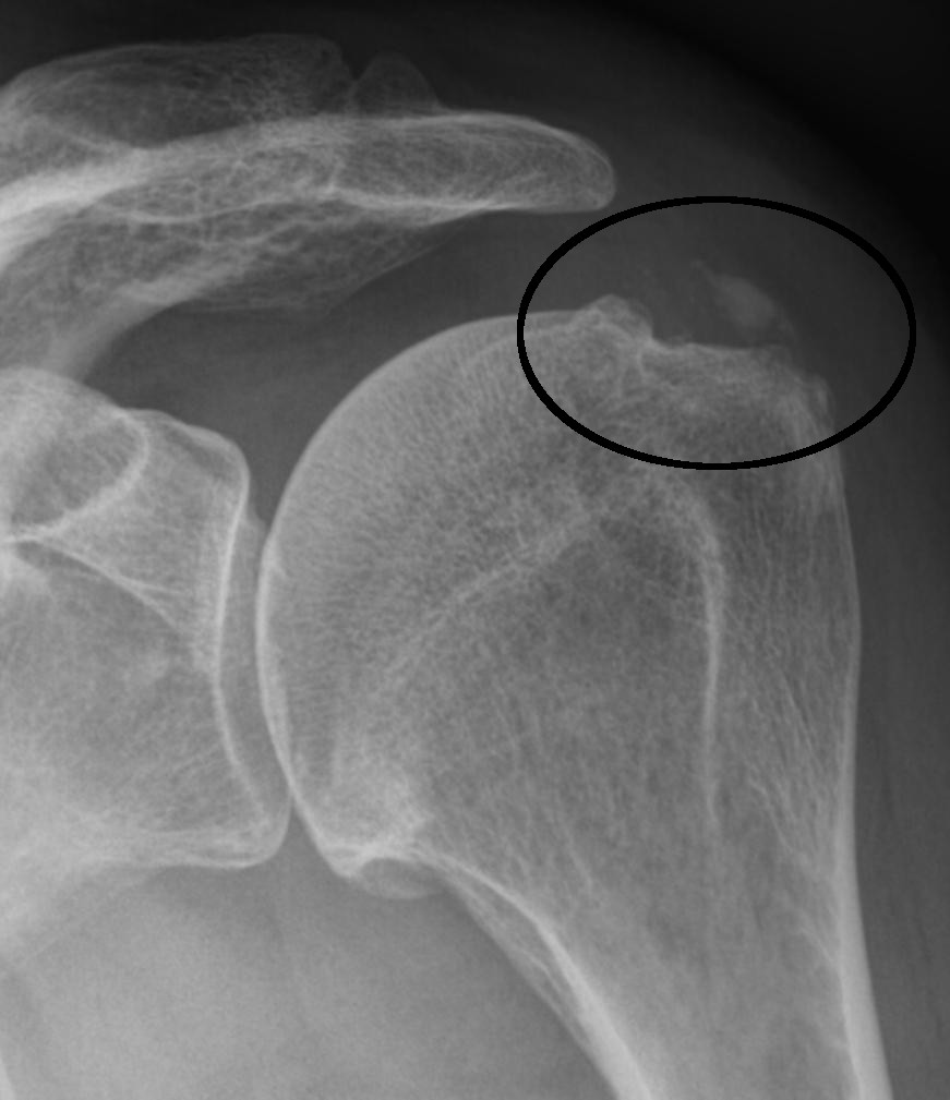
L'épaule calcaire, également appelée tendinose calcifiante, est une affection douloureuse de l'épaule. Elle est due à des dépôts de calcaire dans les tendons de la coiffe des rotateurs, un groupe de muscles responsable de la mobilité de l'épaule.

Symptômes typiques :
L'épaule calcaire se manifeste par une série de symptômes caractéristiques qui peuvent considérablement gêner les personnes concernées dans leur vie quotidienne. Parmi les signes typiques, on trouve notamment des douleurs qui se manifestent aussi bien lors des mouvements du bras que pendant les phases de repos, surtout la nuit. Ces douleurs peuvent devenir si intenses qu'elles rendent très difficile le fait de soulever le bras ou d'effectuer des tâches quotidiennes telles que saisir un objet, le peigner ou l'habiller.
En outre, l'épaule calcaire entraîne souvent une mobilité réduite de l'articulation de l'épaule, ce qui peut réduire considérablement la qualité de vie des personnes concernées. Outre les troubles directs au niveau de l'épaule, on observe souvent des tensions au niveau de la nuque et de la ceinture scapulaire. Celles-ci résultent généralement de la posture de protection inconsciente que les personnes concernées adoptent en raison des douleurs et peuvent entraîner des troubles supplémentaires tels que des maux de tête, de nuque ou de dos.
Causes et origines
L'apparition de l'épaule calcaire, est un processus complexe qui n'est pas encore totalement compris à ce jour. On suppose qu'une multitude de facteurs peuvent contribuer au développement de cette maladie. Il existe toutefois un consensus sur le fait qu'une modification du métabolisme des cellules tendineuses au niveau de l'épaule joue un rôle central. Ces modifications peuvent entraîner le dépôt de cristaux de calcium dans les tendons, en particulier dans la coiffe des rotateurs, ce qui provoque des inflammations, des douleurs et une mobilité réduite de l'articulation de l'épaule. Un facteur déclenchant possible est la surcharge de l'épaule, qui peut être due à des mouvements répétitifs ou à des charges inhabituelles, ce qui entraîne des microlésions dans les tendons. Les déséquilibres musculaires ou les troubles posturaux peuvent également jouer un rôle en affectant le centrage de la tête de l'humérus dans l'articulation de l'épaule. Cela entraîne un pincement répété du tendon sous l'acromion, ce qui provoque des microlésions similaires aux scénarios de surmenage.
Les troubles de la circulation sanguine dans les tendons peuvent également contribuer aux dépôts de calcium, car une diminution de la circulation sanguine limite les capacités d'autoguérison du tendon et favorise ainsi le dépôt de calcium. En outre, des troubles métaboliques comme le diabète peuvent augmenter le risque d'une épaule calcaire, car ils renforcent les processus inflammatoires généraux dans le corps et peuvent donc également entraîner des problèmes au niveau des tendons de l'épaule.
Diagnostic : Comment diagnostiquer l'épaule calcifiée ?
Le diagnostic de l'épaule calcaire dans notre cabinet orthopédique privé se caractérise par un soin particulier. Nous savons que le calcaire dans l'épaule ne provoque pas toujours des douleurs et inversement. C'est pourquoi notre première étape consiste en une anamnèse complète et un examen approfondi. Cette approche nous permet d'identifier les véritables causes de vos douleurs et de nous assurer que notre diagnostic est précis.
Des appareils à ultrasons ultramodernes nous permettent d'observer en détail les parties molles de votre épaule ainsi que les tendons de la coiffe des rotateurs. Dans certains cas, nous complétons ces examens par une IRM, qui ne peut certes pas représenter le calcaire, mais qui peut montrer une tendinite, des ruptures partielles ou une bursite de manière encore plus détaillée que l'échographie.
Dans notre cabinet, nous prenons le temps de vous recevoir : pour la première présentation, nous prévoyons généralement une heure afin de pouvoir procéder à une anamnèse et à un examen vraiment approfondis et de pouvoir également commencer immédiatement le traitement. Pour les rendez-vous suivants, nous prévoyons 30 minutes afin de toujours pouvoir examiner et traiter de manière approfondie, intensive et efficace.
Une voie vers une guérison durable : la combinaison individuelle de méthodes thérapeutiques régénératrices à l'effet synergique
Dans notre cabinet, nous vous proposons un éventail varié d'options thérapeutiques innovantes, adaptées aux besoins individuels de chaque patient. Nous mettons l'accent sur l'effet synergique de différents procédés afin de ne pas seulement soulager les symptômes, mais d'agir sur les causes de vos troubles.
Nous vous présentons ici quelques-unes de nos méthodes de traitement innovantes :
-
Thérapie extracorporelle par ondes de choc (ESWT)
Cette méthode non invasive stimule les processus de régénération cellulaire et favorise l'autoguérison. Des ondes de pression acoustique de haute énergie stimulent les processus régénératifs dans les tissus, améliorent la circulation sanguine et libèrent des substances actives anti-inflammatoires.
Lire la suite -
Cryotherapie
Une méthode efficace pour traiter les états de douleur, d'inflammation et de gonflement grâce à la thérapie par le froid hyperbare. Le refroidissement rapide des tissus stimule le drainage lymphatique et favorise l'anti-inflammation naturelle et le soulagement de la douleur.
-
Thérapie au laser (HILT)
La thérapie au laser haute puissance pénètre profondément dans les tissus, stimule la régénération cellulaire et soulage les douleurs en activant le système endorphinique. Elle est particulièrement efficace dans le traitement des douleurs tendineuses, musculaires et articulaires.
Lire la suite -
Thérapie magnétique à haute énergie
Grâce aux champs électromagnétiques, le métabolisme cellulaire est activé, la circulation sanguine est stimulée et le potentiel membranaire des cellules est stabilisé. Cela favorise la guérison des maladies des os, des muscles et des articulations.
Lire la suite -
Thérapie physique intensive, thérapie par ondes de pression radiales et fasciathérapie
Combine différentes techniques régénératives avec une thérapie intensive des muscles et des fascias pour éliminer les durcissements et améliorer la mobilité.
-
Ostéopathie
Considère le corps dans son ensemble et traite les dysfonctionnements qui peuvent provoquer des troubles dans des parties éloignées du corps. Les techniques douces stimulent les forces d'autoguérison et favorisent une guérison durable.
Lire la suite -
Thérapie régénérative par injection
Utilise les forces de guérison de son propre sang pour réduire l'inflammation et soutenir la régénération des tissus. L'injection de plasma riche en plaquettes permet de transporter les facteurs de croissance directement vers les zones endommagées, ce qui accélère la guérison.
-
Traitement Tenex
Dans les cas graves où les traitements conservateurs ne suffisent pas, cette intervention mini-invasive peut être une option pour retirer même les tissus très altérés. Il s'agit d'une technique innovante et peu invasive, spécialement conçue pour les patients chez qui les thérapies traditionnelles n'ont pas donné les résultats escomptés. Une aiguille à ultrasons spéciale est utilisée pour éliminer en douceur les tissus endommagés ou les dépôts de calcaire dans les tendons, tout en préservant les tissus sains. Le traitement Tenex offre ainsi une alternative élégante et peu invasive aux interventions chirurgicales ouvertes ou arthroscopiques et contribue à un retour plus rapide à la vie quotidienne et à la reprise des activités sportives.
Lire la suite
Pourquoi la cortisone n'est pas une option pour nous :
Les injections de cortisone peuvent certes soulager la douleur à court terme, mais nous déconseillons leur utilisation dans notre cabinet en raison des inconvénients considérables qu'elles présentent à long terme. Celles-ci peuvent non seulement affaiblir la structure du tendon et donc augmenter significativement le risque de déchirure, mais aussi réduire l'irrigation sanguine essentielle des tendons, ce qui entraîne un retard de guérison. En outre, il existe un risque que la cortisone ait une influence négative sur le métabolisme du cartilage et favorise ainsi l'apparition ou la progression de l'arthrose. En outre, le traitement comporte un risque de crise de tension artérielle ou de déraillement de la glycémie. Face à ces risques, nous donnons la priorité à des approches thérapeutiques alternatives, plus sûres et régénératives, qui visent la santé et le bien-être à long terme de nos patients, sans pour autant risquer les effets secondaires de la cortisone mentionnés ci-dessus.
Auto-assistance, exercices personnels et prévention
Les exercices personnels sont essentiels pour la santé de l'épaule, afin de conserver la mobilité et de détendre les tissus. Les mouvements doivent être effectués dans une zone peu douloureuse afin d'éviter les provocations de douleurs. Une activité sportive régulière, combinée à un programme d'exercices spécifiques, favorise la prévention et aide à compenser les contraintes professionnelles ou sportives. Dans les phases de douleurs aiguës, l'application d'une poche de glace ou la prise d'un antalgique pendant quelques jours peuvent apporter un soulagement.
Contact et prise de rendez-vous
Prenez rendez-vous dès maintenant dans notre cabinet pour faire traiter votre épaule calcaire par nos médecins expérimentés. Nous vous aiderons à vaincre vos douleurs et à retrouver votre qualité de vie.
Réservez dès maintenant un rendez-vous de conseil !
Rapide, simple et facile pour votre rendez-vous
FAQ
-
Une épaule calcaire peut-elle guérir d'elle-même ?
Oui, une épaule calcaire peut tout à fait guérir d'elle-même. Dans certains cas, le calcaire dans l'épaule se dissout de lui-même après un certain temps. Il est important de comprendre que les douleurs qui accompagnent une épaule calcaire ne sont souvent pas directement causées par les dépôts de calcaire. Ce sont plutôt les réactions inflammatoires des tendons qui provoquent les douleurs. Il est donc possible que l'épaule redevienne complètement indolore, même si des dépôts de calcaire restent présents. C'est pourquoi il est particulièrement important de ne pas traiter uniquement localement le calcaire dans le tendon, mais toujours l'ensemble de l'articulation de l'épaule, y compris les structures musculaires et fasciales environnantes.
-
Le calcaire dans l'épaule peut-il se dissoudre à nouveau ?
En principe oui, dans le cadre de la guérison de l'inflammation chronique des tendons virgule il n'est cependant pas nécessaire pour redevenir indolore que je doive dissoudre tout le calcaire virgule il est plutôt essentiel pour l'absence de douleur que l'irritation inflammatoire dans le tendon diminue et qu'une fonction normale de l'articulation de l'épaule soit rétablie.
-
La natation est-elle bénéfique en cas d'épaule calcaire ?
La natation est un sport qui (avec une bonne technique) convient très bien pour mobiliser l'articulation de l'épaule et surtout l'attache de l'omoplate. En cas de calcification de l'épaule, il faut toutefois éviter de s'entraîner dans la douleur, quels que soient l'activité et le sport pratiqués. Si vous pouvez nager presque sans douleur, n'hésitez pas à le faire abondamment et faites particulièrement attention à la phase de glisse pendant laquelle vous pouvez allonger encore un peu le bras pour améliorer encore un peu la mobilisation de la fixation de l'omoplate.
-
Combien de temps les douleurs d'une épaule calcaire durent-elles ?
Cela varie beaucoup et peut aller de quelques semaines à de nombreux mois, il est particulièrement important de commencer tôt une thérapie efficace afin d'éviter la chronicité.
Auteur et expertise
Notre cabinet est dirigé par le Dr Raul Borgmann, un expert renommé dans le domaine de l'orthopédie régénérative, de l'ostéopathie et de la médecine du mouvement. Avec des années d'expérience et une profonde compréhension des relations complexes de l'appareil locomoteur, le Dr Borgmann et l'équipe du cabinet privé d'orthopédie et d'ostéopathie d'Orthopassion garantissent un traitement de très haut niveau.
Plus d'informations :
-
Calcul de l'épaule Article du Dr. Borgmann sur Orthinform.de
-
Thérapie par ondes de choc pour la tendinite calcifiante de l'épaule : une étude clinique prospective avec un suivi de deux ans
L'étude démontre que la thérapie par ondes de choc est un traitement sûr et efficace pour les patients souffrant d'épaule calcifiée, en offrant des améliorations significatives sans intervention invasive. Sur une période de deux ans, des résultats positifs durables ont été constatés en termes de réduction de la douleur et d'amélioration fonctionnelle de l'épaule.
-
Thérapie par ondes de choc focalisées, radiales et combinées dans le traitement de la tendinopathie calcifiante de l'épaule
Les résultats ont montré des améliorations cliniques, fonctionnelles et échographiques dans tous les groupes. Le meilleur traitement de la tendinopathie de l'épaule calcaire semble être l'ESWT combinée focalisée et radiale par rapport aux interventions individuelles.
-
Effets de la thérapie par ondes de choc extracorporelles à haute énergie sur la douleur, l'incapacité fonctionnelle, la qualité de vie et les changements échographiques chez les patients atteints de tendinopathie calcifiée de la coiffe des rotateurs
Conclusion : La thérapie par ondes de choc de haute énergie s'est avérée efficace et est donc fortement recommandée pour le traitement de la tendinopathie calcifiée de la coiffe des rotateurs, car elle améliore la douleur et la fonctionnalité, tout en augmentant la qualité de vie des participants et en réduisant la taille des dépôts calcaires. La thérapie par ondes de choc s'est avérée supérieure à la physiothérapie de routine.
-
Ténotomie percutanée à l'aiguille guidée par ultrasons à l'aide du système Tenex pour l'épicondylite latérale réfractaire ; efficacité à court et à long terme et facteurs contributifs
La ténotomie percutanée à l'aiguille guidée par ultrasons (USPNT) avec le système Tenex améliore significativement les symptômes et la fonction chez les patients atteints d'épicondylite latérale (tennis elbow), même avec un suivi à long terme allant jusqu'à 3 ans. Aucune complication telle que des ruptures de tendons ou des infections n'a été observée.
Laissez-nous vous accompagner sur le chemin d'une épaule sans douleur !
Votre équipe d'Orthopassion